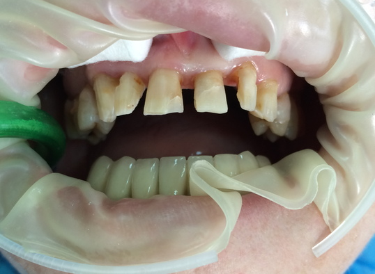
Индивидуальные особенности, частичное отсутствие зубов.
Решение:
установлены имплантаты, циркониевые коронки.

Имплантация зубов с применением
передовых систем лечения
премиум-класса в Москве
звонок бесплатный 8 (495) 125-00-13
Заказать звонокЗапишитесь на бесплатный (вместо 2 500 руб.) приём
специалиста международного уровня!
Индивидуальные особенности, частичное отсутствие зубов.
Решение:
установлены имплантаты, циркониевые коронки.
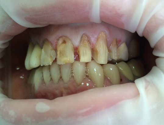
Патологическая стираемость, дефекты цвета и формы зубов.
Решение:
установлены металлокерамические коронки и мосты.
Частичное отсутствие зубов.
Решение:
установлены металлокерамические коронки.
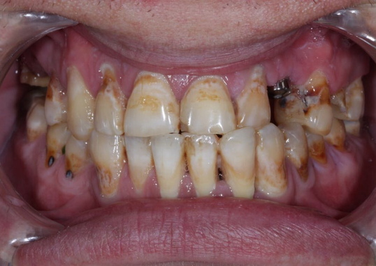
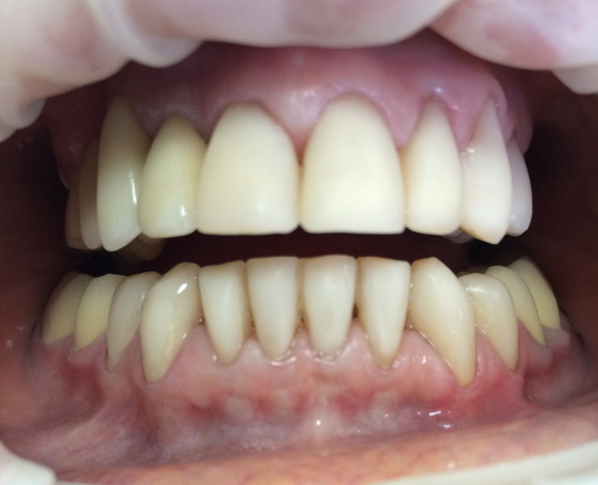
Множественный кариес с явлениями пародонтоза. Отсутствие зубов.
Решение:
установлены коронки и мосты на основе оксида циркония.
Полное отсутствие зубов на верхней и нижней челюстях.
Решение:
изготовлены съемные протезы «Акри Фри».
Измененные цвет и форма верхних зубов.
Решение:
установлены виниры Emax.
Полное отсутствие зубов нижней челюсти. Плохая фиксация ранее установленного протеза.
Решение:
установлены два имплантата. Фиксация протезов на замках.
Дефект твердых тканей зубов. Множественные пломбы. Отсутствие зубов.
Решение:
установлены металлокерамические коронки и мосты.
Дефект зубов.
Решение:
установлены металлокерамические коронки.
Множественный кариес.
Решение:
реставрация композитными материалами непосредственно в полости рта (прямые виниры). Время работы – 2 часа. Бюджетная стоимость.
Кариозная полость.
Решение:
вкладка из прессованной керамики Emax.
Частичное отсутствие боковых зубов на нижней челюсти. Невозможность установки мостовидного протеза.
Решение:
установка имплантатов, металлокерамические коронки.
Множественный кариес, старые пломбы.
Решение:
прямая реставрация пломбировочным материалом, зубы облицованы за одно посещение. Бюджетная стоимость.
Отсутствие зубов на верхней и нижней челюсти, плохие условия для фиксации и стабилизации нижнего протеза.
Решение:
изготовлены два полных съемных протеза «Акри Фри», установлены три имплантата на нижнюю челюсть. Фиксация протеза на замках-локаторах.
Полное отсутствие зубов на верхней и нижней челюсти.
Решение:
установлены четыре имплантата по системе «All-on-for». Изготовлен полный съемный протез на верхнюю челюсть. Изготовлена несъемная металлокерамическая конструкция с винтовой фиксацией на имплантаты на нижнюю челюсть.
Эстетический дефект в верхних зубов.
Решение:
установлены виниры Emax.
Полное отсутствие зубов на верхней челюсти и частичное на нижней.
Решение:
установлены металлокерамические коронки на нижнюю челюсть и протез «Акри Фри» на верхней.
Множественный кариес.
Решение:
реставрация композитными материалами непосредственно в полости рта (прямые виниры). Время работы – 2 часа.
Мягкие и твердые зубные отложения.
Решение:
ультразвуковая чистка, AirFlou.
Отсутствие зубов на нижней челюсти слева.
Решение:
установлены имплантаты. Металлокерамические коронки.
Разрушение и частичное отсутствие зубов на верхней челюсти.
Решение:
установлены металлокерамические коронки.
Циркониевые коронки.
Виниры E-max.
Приём в день обращения
Вы можете выбрать удобное время для записи
Бесплатный осмотр
Осмотр полости рта хирургом-стоматологом
(0 руб. вместо 2 500 р.)
Консультация
Вы получаете подробную консультацию по установке имплантатов, виниров, коронок
Фиксация цены
Полный расчёт стоимости лечения с фиксацией цены
Рассрочка
Лечение в рассрочку без процентов и переплат (оформление на месте)
Качество
Мы используем только качественные материалы, а также имплантаты
с неограниченным сроком службы
Ваше здоровье
Вы находитесь под наблюдением врача в течение 6 месяцев после лечения
Профессионализм
У нас работают только дипломированные специалисты
Шубных Максим
Чебуздина Юлия
Кравченко Ирина
Молчанов Вадим
Романов Дмитрий
Необходима консультация наших специалистов?
Оставить заявку
Виниры
Та самая «голливудская улыбка» без обточки собственных зубов
Металлокерамические
коронки
Классика протезирования. Бюджетно, эстетично и надежно
Циркониевые
коронки
Естественность в каждой детали, без эффекта «искусственных» зубов
Показания
Полное или частичное отсутствие зубов.
Комплексная диагностика
и планирование
Компьютерная томография, выявление индивидуальных особенностей костной ткани. Составление и согласование хирургического и ортопедического этапов лечения.
Безболезненная
установка имплантатов
Современные технологии позволяют установить имплантат безболезненно за 20-30 минут.
Приживление
имплантата
3-6 месяцев по классическому протоколу. Возможно одномоментное изготовление коронки.
Установка
коронки
К имплантату фиксируется коронка. Внешне имплантированный зуб не отличить от натурального.
Мы сотрудничаем с мировыми лидерами в производстве материалов и оборудования

Nobel Biocare
Компания Nobel Biocare предлагает широкий ассортимент дентальных имплантатов

AlphaBio
Более 25 лет компания Alpha-Bio Tec является лидером в разработке и производстве имплантатов, ортопедических компонентов, биоматериалов и стоматологических хирургических инструментов

MIS
Компания MIS с 1995 года разрабатывает, производит и продает широкий диапазон дентальных имплантатов, супраструктур и костнозамещающих материалов

OSSTEM
На сегодня компания OSSTEM занимает около половины рынка стоматологических имплантатов в Южной Корее и находится на пятой строчке в рейтинге компаний-производителей имплантатов.

AlfaDent
Alpha Dent Implants поддерживает систему тщательного контроля качества своей продукции, соответствующей всем требованиям основных стандартов в этой области: стандарту ISO 13485 и стандарту ISO 9001.
Инна Андреевна
«... Я всегда лечусь у Максима Шубных, он всегда справляется с любыми, даже очень сложными случаями...»
Ирина Васильевна
«... Мы всей семьёй лечим зубы у Шубных Максима Сергеевича, это настоящий профессионал.»
Валерий Гусман
«... Стоматолог Максим Шубных меня прямо к жизни вернул - хоть орехи грызи!»
Леонид Федорович
«...Спасибо! Я буду рекомендовать своим друзьям и знакомым обращаться к Вам!»
Алёна Владимировна
«У моего сына было разрушено два зуба, Вы ему их оба спасли, хотя в другой клинике ему сказали, что один точно идёт под удаление, второй - под вопросом. Спасибо Вам.»
Марина Цветкова
«Я имплантации боялась как огня, однако, операция продлилась всего 30 минут, Максим Сергеевич сделал всё быстро и аккуратно...»
—Болезненна ли процедура имплантации?
Обычно процедура безболезненна. Чаще всего пациент ощущает вибрацию и некоторое давление, но не более того. Большинство пациентов во время имплантации чувствуют то же, что и при лечении кариеса.
+Сколько визитов к врачу необходимо для полного лечения?
Все зависит от объема и вида лечения. В любом случае, первое посещение – это всегда консультация стоматолога, осмотр, назначение диагностических процедур.
В следующий прием врач оценит полученные результаты исследований и составит план лечения. Если число имплантатов небольшое, то они могут быть установлены за одно посещение одновременно.
Через 1-2 дня после операции Вам необходимо будет посетить врача для осмотра и контроля заживления раны. Через 7-10 дней — визит для снятия швов.
Далее следует длительный промежуток в несколько месяцев, в течение которого имплантат приживается, и посещать стоматолога можно только по необходимости.
Когда наступит время протезирования, необходимо будет совместно с врачом составить план посещений, который зависит от сложности требуемых конструкций.
+Буду ли я «без зубов» в процессе лечения?
Нет. Если до имплантации у Вас были съемные зубные протезы, то Вы сможете ими пользоваться и после операции в период приживления имплантатов и в течение изготовления новых конструкций.
Если до имплантации у Вас не было съемных протезов, или Вам установили имплантат сразу после удаления зуба, то возможно изготовление временных коронок или временных съемных конструкций, которые закроют дефект зубного ряда и, практически, не будут отличаться от ваших зубов.
+Как и когда устанавливается искусственный зуб на имплантат?
Обычно полное приживление имплантата наступает через 4-6 месяцев после операции на верхней челюсти и через 3-4 месяца на нижней челюсти. После этого можно начинать протезирование.
Стоматолог снимает слепок (оттиск) с Ваших зубов, выбирает вместе с Вами цвет и форму будущего протеза, после чего отправляет заказ в зуботехническую лабораторию. Там на гипсовых моделях Ваших челюстей изготавливается необходимый Вам протез (коронка, мостовидный или съемный протез).
Иногда перед тем, как окончательно зафиксировать конструкцию на имплантаты стоматологу необходимо примерить промежуточный вариант работы, чтобы затем что-то еще раз откорректировать в лаборатории и добиться идеального результата.
+Каков срок годности имплантата?
В случае если имплантат установлен правильно, и его приживление прошло успешно, а ортопедическая конструкция, установленная на имплантат, распределяется равномерно, то он может прослужить Вам всю жизнь. Для этого необходим качественный уход за ним. Ведь имплантату и искусственной коронке не страшен кариес!
Однако микробы страшны деснам и костной ткани. При некачественной чистке зубов велик риск развития пародонтоза, за которым следует атрофия костной ткани и «оголение» верхней части имплантата.
+Есть ли противопоказания к имплантации в пожилом возрасте?
Ограничений к имплантации по возрасту нет (в случае отсутствия серьезных заболеваний внутренних органов и систем). Если у пациента нет общих медицинских противопоказаний к имплантации, то установить имплантаты можно и в 60, и в 80, и даже в 90 лет.
+Нужен ли общий наркоз при проведении операции имплантации?
Нет, общий наркоз не требуется. Выполняется обычная местная анестезия («укол»), как и при обычном лечении зуба.
+Через какое время после имплантации я смогу вернуться на работу?
Как показывает практика, уже на следующий день после процедуры Вы будете в полном порядке и сможете приступить к работе.
Настоящим в соответствии с Федеральным законом № 152-ФЗ «О персональных данных» от 27.07.2006 года свободно, своей волей и в своем интересе выражаю свое безусловное согласие на обработку моих персональных данных ООО «Эккарт», ОГРН 1157746566340, ИНН 7722331646, зарегистрированным в соответствии с законодательством РФ по адресу: г. Москва, ул. Тагильская, д.6 стр.1 (далее по тексту - Оператор). Персональные данные - любая информация, относящаяся к определенному или определяемому на основании такой информации физическому лицу. Настоящее Согласие выдано мною на обработку следующих персональных данных: - Телефон.
Согласие дано Оператору для совершения следующих действий с моими персональными данными с использованием средств автоматизации и/или без использования таких средств: сбор, систематизация, накопление, хранение, уточнение (обновление, изменение), использование, обезличивание, а также осуществление любых иных действий, предусмотренных действующим законодательством РФ как неавтоматизированными, так и автоматизированными способами.
Данное согласие дается Оператору для обработки моих персональных данных в следующих целях: - предоставление мне услуг/работ; - направление в мой адрес уведомлений, касающихся предоставляемых услуг/работ; - подготовка и направление ответов на мои запросы; - направление в мой адрес информации, в том числе рекламной, о мероприятиях/товарах/услугах/работах Оператора.
Настоящее согласие действует до момента его отзыва путем направления соответствующего уведомления на электронный адрес 6140812@mail.ru. В случае отзыва мною согласия на обработку персональных данных Оператор вправе продолжить обработку персональных данных без моего согласия при наличии оснований, указанных в пунктах 2 11 части 1 статьи 6, части 2 статьи 10 и части 2 статьи 11 Федерального закона №152-ФЗ «О персональных данных» от 26.06.2006 г."